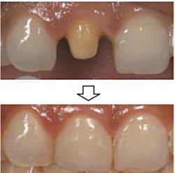
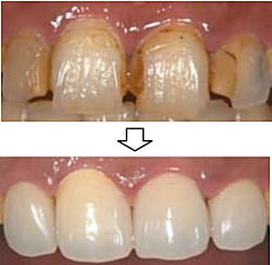
審美歯科
|
|
|
「口を大きく開けて笑えない」
「歯の黄ばみが気になる」
銀歯の詰め物や歯の黄ばみが気になって人前で笑えないと悩んでいませんか?
当院では、むし歯治療だけでなく、周りの歯となじむように美しくする治療をしております。お悩みを解決するために、ぜひ当院へご相談下さい。
|
|
 |
当院ではご自宅で手軽に行えるホームホワイトニングを採用しています。
価格 片顎 27,500円
アメリカで最もポピュラーなホワイトニングシステム NITEホワイト・エクセル
NITEホワイト・エクセルは短時間で安全にかつ効果的にホワイトニングが行えるシステムです。歯科医師により作製された透明のマウストレーに「NITEホワイト・エクセル」ジェルを用いて使用することができます。
「NITEホワイト・エクセル」ジェルを1日2時間使用することにより、素晴らしい効果を得ることができます。個人差にもよりますが、2週間で輝く白い歯になります。
NITEホワイト・エクセルの主成分は過酸化尿素です。
過酸化尿素は過酸化水素より刺激が少ないため、より安全に使用することが可能です。
またこのシステムは「後戻り」が少なくより長く効果を持続することができます。
ホワイトニング治療の流れ
|
1
|
インフォームドコンセントを行い、ホワイトニングについて注意事項を説明します。
|
|
2
|
口腔内全体の検査をします。
この時にホワイトニングの適応症かどうか判断します。
|
|
3
|
ホワイトニングの前処置として口腔全体の除石・清掃を行います。
|
|
4
|
ホワイトニングの前の状態で、色調を記録します。
|
|
5
|
口腔内撮影用カメラ等を用いてホワイトニング前の状態を記録します。
|
|
6
|
ホワイトニングする歯列の印象採得を行い、マウストレーを作製します。試着を行います
|
|
7
|
マウストレーにホワイトニング材を注入し、口腔内で試着を行います。
|
|
8
|
あとは、ご自宅でホワイトニングを行って下さい。
ホワイトニングは1日2時間以内で、期間は2週間以内で行います。
|
義歯
歯科技工士と共同で、しっかりかめるまで責任をもってお作りします。
価格表
うしろがた歯科医院では、より美しい歯を保ちたいと願う方のために、様々なメニューを用意いたしております。
ご質問等ございましたら、遠慮なくスタッフまでお声かけ下さい
被せ物
|
硬質レジン
|
|
 |
|
1割負担 約3,000円
3割負担 約9,000円 |
|
|
|
|
|
|
|
|
- プラスチックの歯
- 変色し擦り減ります
- 裏側は全て金属です
- 奥歯の保険適用はありません
- 作り直す度にご自身の歯が小さくなります
|
|
|
|
|
ハイブリッドセラミック
|
|
 |
|
66,000円 |
|
|
|
|
|
- 金属を使用しません
- 歯と同じくらいの硬さがあります
- 保険のプラスチックに比べ、色調、強度ともに優れています。
|
|
|
|
|
|
|
メタルセラミック
|
|
 |
|
93,500円 |
|
|
|
|
|
- 色調、形態ともに優れています
- 変色しません
- 天然歯の様な美しさと輝きを保ちます
- 裏側はほとんど白く出来ます
|
|
|
|
|
|
|
オールセラミック
|
|
 |
|
93,500円 |
|
|
|
|
|
- 金属を一切使用しません
- 永年の使用でも変色しません
- 天然歯の様な美しさと輝きを保ちます
- 一番きれいに仕上がります
|
|
|
|
|
|
|
|
ゴールド
|
|
 |
|
77,000円 |
|
|
|
|
|
- 金で製作
- 体に優しく自分の歯を痛めません
- 適合性に優れています
- 歯との境目から虫歯になりにくい
|
|
|
|
|
|
詰め物
|
ハイブリッドセラミック
|
|
 |
|
38,500円 |
|
|
|
|
|
- 金属を使用しません
- きれいに仕上がります
- インレーに最適の素材
|
|
|
|
|
|
|
パラジューム合金
|
|
 |
|
1割負担 1,000円
3割負担 3,000円 |
|
|
|
|
|
- 噛む機能に問題はありません
- 保険適用で価格が経済的
|
|
|
|
|
- 審美的にはお薦め出来ません
- アレルギーを起こすことがあります
|
|
|
|
ゴールド
|
|
 |
|
38,500円 |
|
|
|
|
|
- 金で製作
- 適合性に優れています
- 歯との境目から虫歯になりにくい
|
|
|
|
|